About Us
当院について
当院の理念
診療時間
初めての方へ
診察について
Service
診療案内
一般診療
一般診療
輸血治療
症例紹介
猫について
地域猫貢献活動
専門外来
眼科
皮膚科
整形外科
循環器科
行動診療科
症例紹介
各種臨床検査
各種臨床検査
CT
MRI
患者さま紹介の流れ
Information
お知らせ
Directions
交通のご案内
FAQ
よくある質問
ネット予約
採用サイト
JP
EN
CN
MENU
当院について
当院の理念
診療時間
初めての方へ
診察について
今月の獣医師勤務表
スタッフ紹介
川畑充
川畑健
廣野直人
前川良子
M.T
スタッフ座談会
診療案内
一般診療
一般診療
輸血治療
症例紹介
猫について
地域猫貢献活動
専門外来
眼科
皮膚科
整形外科
循環器科
行動診療科
症例紹介
各種臨床検査
各種臨床検査
CT
MRI
患者さま紹介の流れ
施設紹介
院内設備
検査設備
大津分院
ケアサービス
パピー教室
ペットホテル
トリミングシャンプー
ドッグラン
アクセス
料金表
よくある質問
リンク集
プライバシポリシー
お問い合わせ
サイトマップ
お知らせ
EN
CN
採用サイト
獣医師様はこちら
VETERINARIAN
ネット予約
RESERVE
症例紹介
CASE
一般診療
輸血治療
症例紹介
猫について
地域猫貢献活動
症例紹介
CASE
猫の尿管結石(尿管膀胱側側吻合)
猫の会陰尿路造瘻術
猫の鼻腔内リンパ腫
猫の尿失禁について
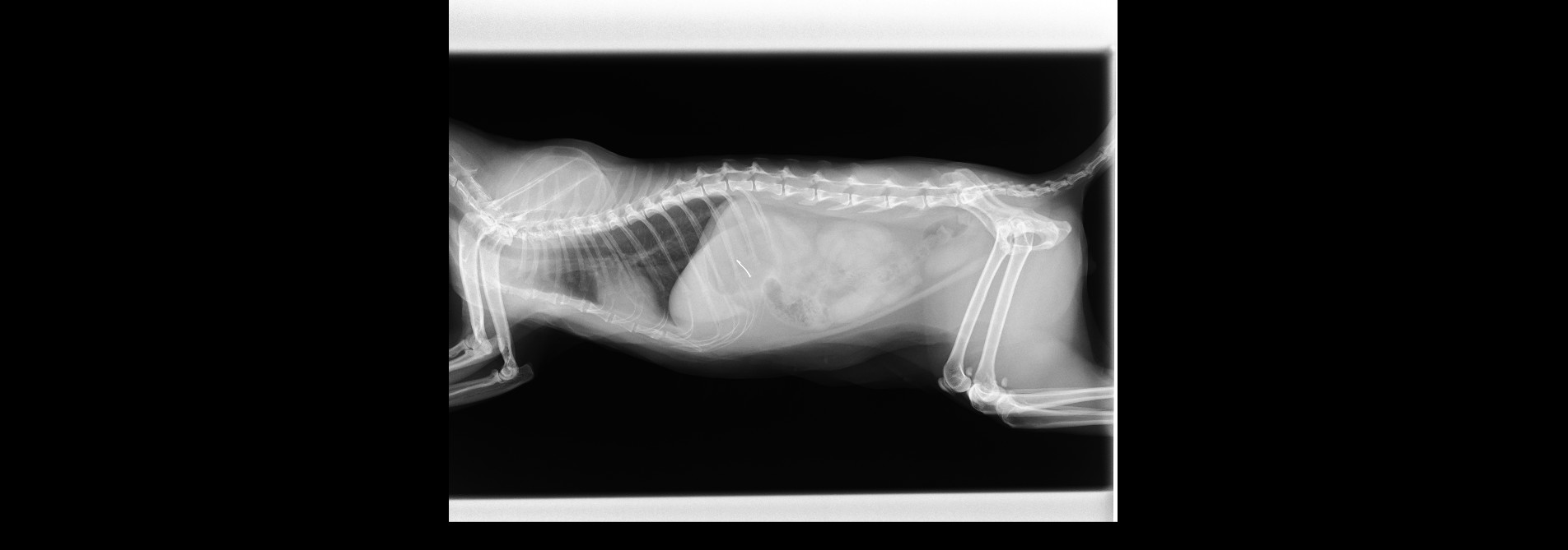
腸内の紐状異物
仙腸関節脱臼
肘頭骨折
1
動物
すべて
犬
猫
小動物
鳥
ハムスター
うさぎ
爬虫類
専門診療科
画像診断科(CT、MRI)
血液内科
呼吸器外科
消化器内科
神経内科
腫瘍科
泌尿・生殖器外科
神経外科
消化器外科
循環器科
整形外科
皮膚科
眼科
歯科
行動診療科
ホーム
診療案内
症例紹介