獣医師様はこちらVETERINARIAN
ネット予約RESERVE
ページトップへ

症例紹介 CASE

症例紹介 CASE

猫の鼻腔内リンパ腫

猫の鼻腔内リンパ腫とは?

猫の上部気道に発生する最も一般的な腫瘍のひとつです。主な症状は慢性のくしゃみ、鼻汁、鼻出血などで、進行すると顔面変形がみとめられます。初期には慢性鼻炎と区別がつきにくい場合があります。診断にはCT,組織生検が必要です。鼻腔のリンパ腫は放射線への感受性が高く、放射線治療が第一選択となります。鼻腔内リンパ腫の標準治療は決定されていませんが、放射線治療や抗がん剤治療が適応となります。中央生存期間は140-900日と幅がありますが、抗がん剤治療も奏功する症例では比較的良好な予後を得られる場合も多いです。

症例紹介

DSH
年齢 11歳
体重 3kg
性別 雌(避妊済)
来院のきっかけ

鼻汁、くしゃみ

所見

左目の第三眼瞼突出、流涙、鼻汁、鼻閉

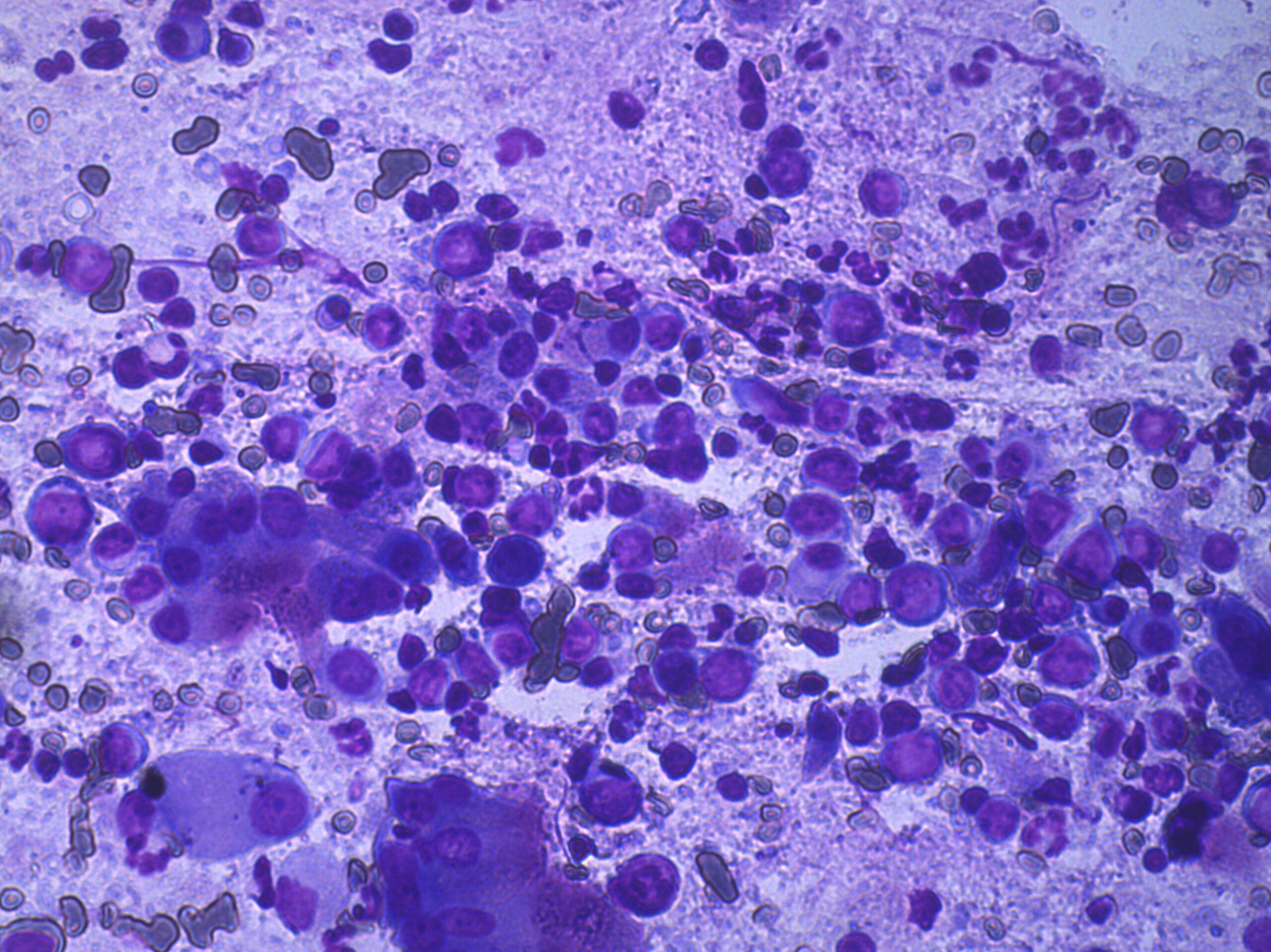
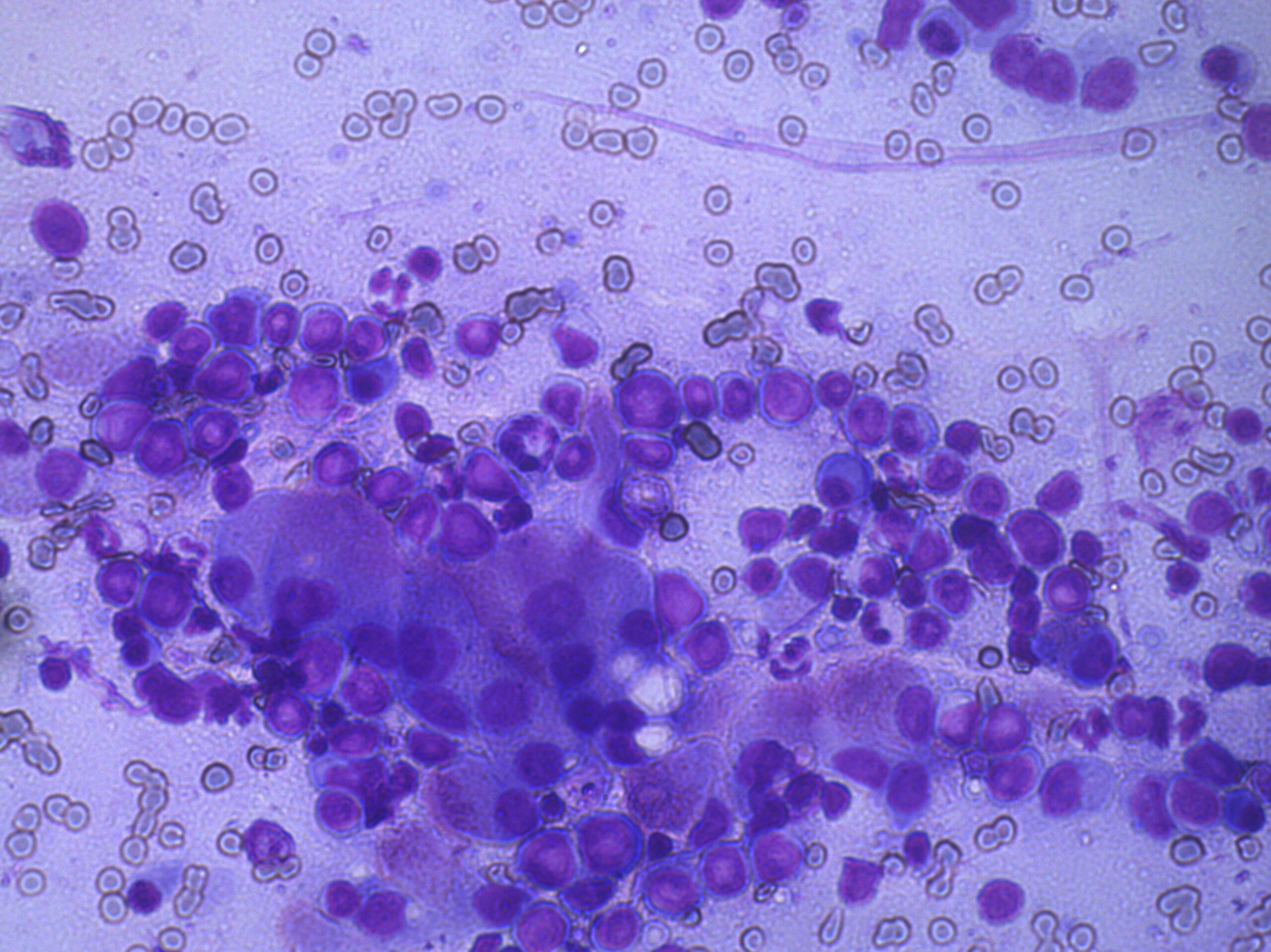
診断と治療

CT撮影と組織生検にて大細胞性リンパ腫と診断され、放射線治療と抗がん剤治療の提案をしました。相談の結果抗がん剤治療を行うこととなり6カ月の抗がん剤治療(CHOPプロトコル)を行いました。


その後の経過(オペ後)

抗がん剤治療開始1週間後には症状は消失し、外貌の変化も改善しました。良好な状態を維持したまま半年間の抗がん剤プロトコルを終え、現在半年経過しています。再発はなく経過観察のみ継続しています。

before