・2025年5月7日:朝3時40分に強直間代性発作(単発、2-3分程度)を認めた。流涎あり、失禁なし。その後の意識状態やバイタルサインに明らかな異常所見はなかった。左半身の固有位置感覚が正常~やや低下?している印象はあった。
・その後、明らかな神経症状はなく、元気食欲あり、歩様も明らかな異常所見は認められなかった。
・2025年5月14日:MRIおよびCSF検査を実施。
症例紹介 CASE
症例紹介 CASE
抗GFAP自己抗体陽性のMUOとは?
犬の脳脊髄液(CSF)で検出される抗GFAP自己抗体(anti-GFAP autoantibodies)は、当初、パグの壊死性髄膜脳炎(NME; “pug dog encephalitis”)で報告され、GFAPが自己抗原の一つであることが免疫ブロット等で示されました。 その後、臨床マーカー研究でもNME群で抗GFAP抗体が相対的に高値となることが示され、NMEの診断補助として位置づけられてきました。
一方で、近年の総説では、壊死性脳炎(necrotizing encephalitis; NE)は病理学的に NMEとNLE(necrotizing leukoencephalitis)を含む枠組みとして整理されます。 したがって、CSF抗GFAP抗体陽性例は臨床的には「NMEに寄る」ことが多いものの、NLEを含むNEスペクトラムの一部を拾っている可能性を常に残して解釈するのが妥当です。
さらに重要な注意点として、抗GFAP抗体は疾患特異性が絶対ではありません。NME以外(例:GMEや脳腫瘍)でもCSF抗GFAP抗体が検出され得ること、またパグでは健常群でもGFAP関連マーカーが上がり得ることが指摘されています。 加えて、パグの脊髄疾患であるpug dog myelopathy(PDM)でも抗GFAP抗体の検出頻度が高いことが報告されており、抗GFAP陽性=NMEと短絡しない姿勢が必要です。
今回の症例は、MRI検査およびCSF検査の所見から、壊死性脳炎(特にNLE)が疑われた症例の紹介になります。
症例紹介
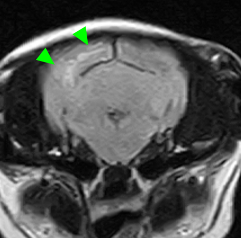
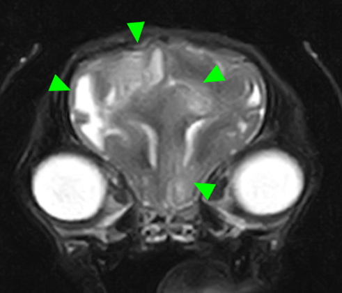
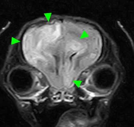
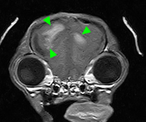
本症例のMRI検査所見:
・前頭葉白質領域(右>左)および右側大脳白質領域(側頭葉・後頭葉)にT2強調画像/FLAIR画像で高信号を示し、一部造影増強を示すびまん性の所見を認める。この所見は、DWI画像で高信号を示し、ADC-mapで大半は等~低信号を示す。
・透明中隔は欠損を疑うが、顕著な側脳室拡大を疑う所見は認められず、脳溝も明瞭である。
本症例のCSF検査所見:
リンパ球および単球の少数出現
抗GFAP自己抗体 陽性
診断と治療
【診断】
NLEを強く疑う(確定診断ではない点に注意)
【治療内容】
抗GFAP自己抗体は、犬のNMEでCSF中に高値で検出されることが報告されており、免疫介在性機序の関与を支持する所見として位置づけられています。NME、他の炎症性CNS疾患、その他CNS疾患、健常犬を比較した研究では、NME群で抗GFAP抗体が最も高値でした。
治療の中心は免疫抑制療法です。NMEに焦点を当てた比較として、病理学的にNMEと確定された犬を対象に、シクロスポリン+プレドニゾロンがプレドニゾロン単独より平均生存期間を延長したとする報告があります(併用群 305.7±94.7日、単独群 58.3±30.5日)。
一方で、臨床ではNMEとNLEが混在する「MUO/MUE」や「NE(NME/NLEを含む)」として治療成績が報告されることも多く、プロトコルの優劣は症例選択や重症度の影響を受けます。たとえば、シクロスポリン+ステロイドを基本とするMUO治療の枠組みで、導入時にシタラビンを追加しても転帰が明確に改善しなかったという回顧研究があります。
NLEに関しては、症例報告レベルのエビデンスが中心ですが、ミコフェノール酸モフェチル(MMF)+プレドニゾロンで長期管理され、最終的に病理でNLEと診断された長期観察例(963日生存、経時的画像評価と組織学的所見を含む)が報告されています。
【予後】
抗GFAP抗体陽性例(NME/NLEを含むNEスペクトラム)の予後は症例差が大きく、急速進行例から年単位の生存例まで幅があります。NMEにおける抗GFAP抗体の「経時推移」に関しては、CSF抗GFAP抗体を連続評価した報告があり、少なくとも一部の症例では抗体が高力価のまま推移し、最終的に神経症状の進行を伴って死亡に至った経過が示されています(抗体価が病勢と並走する可能性を示唆します)。
病型別の転帰に関しては、NMEでは前述のとおり、病理確定例でシクロスポリン+プレドニゾロンがプレドニゾロン単独より平均生存期間が長かったとする報告があり、治療反応が得られる場合には一定の生存延長が期待されます。
一方で、抗GFAP抗体は疾患特異性が絶対ではなく、パグの脊髄疾患(PDM)や神経学的対照群でも検出され得るため、抗GFAP抗体陽性という所見のみから個々の症例の予後を直接見積もることはできません。
NLEについては、MMF+プレドニゾロンで長期生存したうえで病理診断に至った症例報告があり、少なくとも一部症例では長期管理が成立し得ることが示されています。
総合すると、抗GFAP抗体陽性例の予後は、(1)NMEでは併用免疫抑制で生存延長が示唆された報告があること、(2)抗体所見は解釈に幅があり単独では予後予測にならないこと、(3)NLEでも長期生存例が報告されていること、が現状として分かっていることになります。
その後の経過(オペ後)
本症例はプレドニゾロン+シクロスポリンの併用、および強直間代性発作のコントロールのため抗てんかん薬の服用をしていましたが、治療開始後7カ月の時点で死亡しました。
