獣医師様はこちらVETERINARIAN
ネット予約RESERVE
ページトップへ

症例紹介 CASE

症例紹介 CASE

猫の会陰尿路造瘻術

会陰尿路造瘻術とは?

雄猫の尿路において、結石や砂粒などにより尿道が狭窄及び閉塞しスムーズな排尿が困難となった場合、尿道の狭い部分を切除し、太い尿道を会陰部に新しく開口させることで、閉塞を解消し排尿を可能にする手術です。
主に尿路結石や泌尿器症候群により、何度も尿道閉塞を繰り返す雄猫に適応となります。
膀胱炎や結石ができやすい体質は変わらないため、術後も長期的に療法食や定期的な検診及び治療は必要となります。

症例紹介

DSH
年齢 7歳
体重 6kg
性別 雄(去勢済)
来院のきっかけ

昨日からトイレに行っても尿が出てないとの主訴で受診

所見

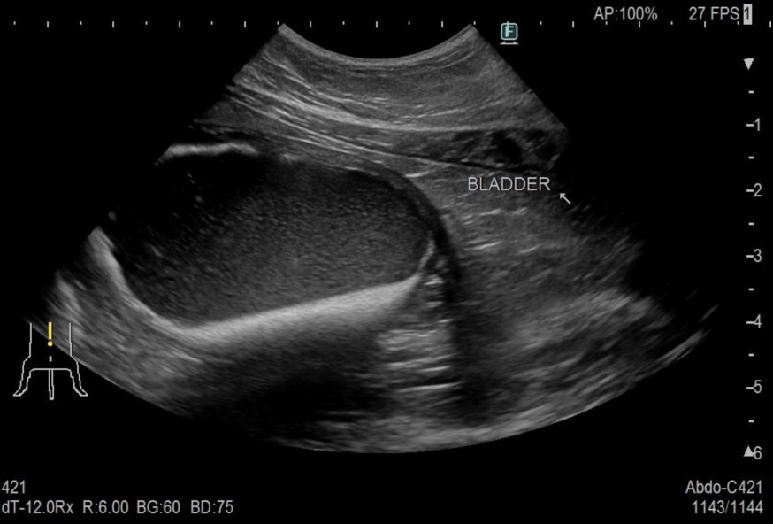
腹部触診にて固く拡張した膀胱を触知

診断と治療

レントゲンとエコー検査にて膀胱内に砂粒の存在と尿道の閉塞を確認
鎮静下にて尿道内の閉塞を解除し、カテーテルを設置
再発を繰り返しているため、翌日会陰尿路造廔術を実施した


その後の経過(オペ後)

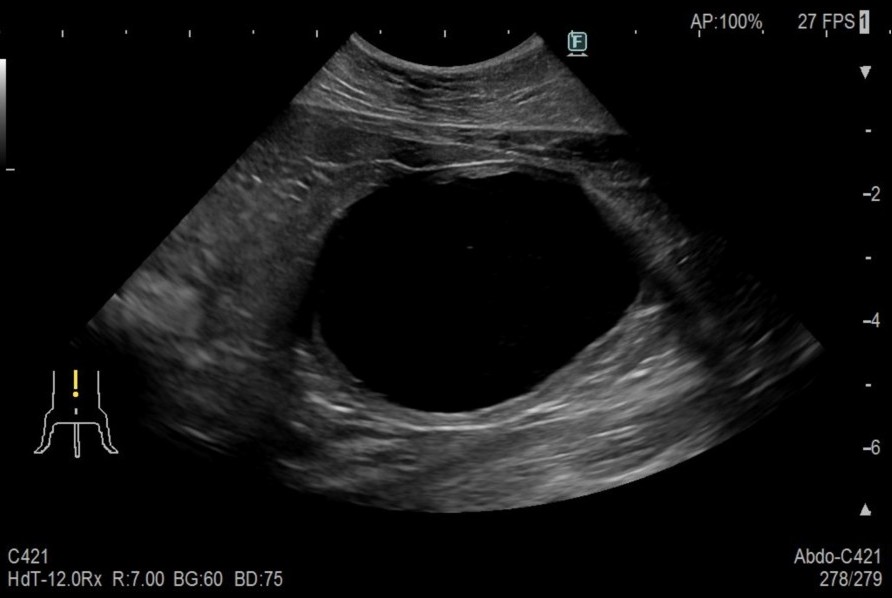
術後、スムーズに排尿できるようになり、術創の経過も良好であったため1週間程度で退院、術後2週間で抜糸を行い経過観察とした

before
after