獣医師様はこちらVETERINARIAN
ネット予約RESERVE
ページトップへ

症例紹介 CASE

症例紹介 CASE

猫の尿管結石(尿管膀胱側側吻合)

尿管結石とは?

腎臓で形成された結石が尿管に詰まる病気です。尿管は細い管なので、結石が詰まると尿の流れが悪くなり腎臓が腫れます(水腎症)を引き起こします。放置すると腎臓の働きが失われ、命に関わることもあります。
主な原因としては、ミネラルバランスの悪い食餌、水分不足などによる食事によるもの、濃い尿やpHの偏りなどの尿の性質、小型犬などの体質により起こります。結石の種類は、シュウ酸カルシウム結石、リン酸アンモニウムマグネシウム(ストラバイト)が多いです。

症例紹介

アメリカン ショートヘア
年齢 4歳2ヶ月
体重 6.1kg
性別 避妊雌
来院のきっかけ

嘔吐を主訴に来院

所見

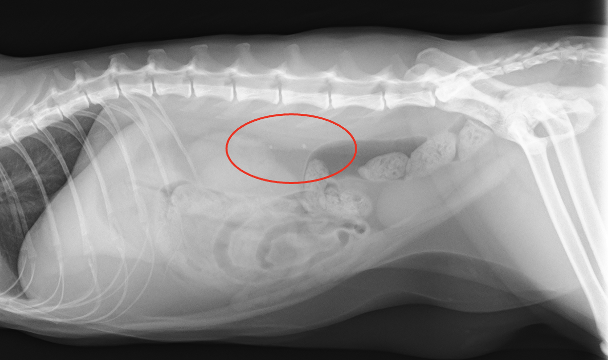
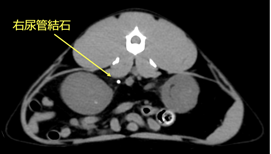
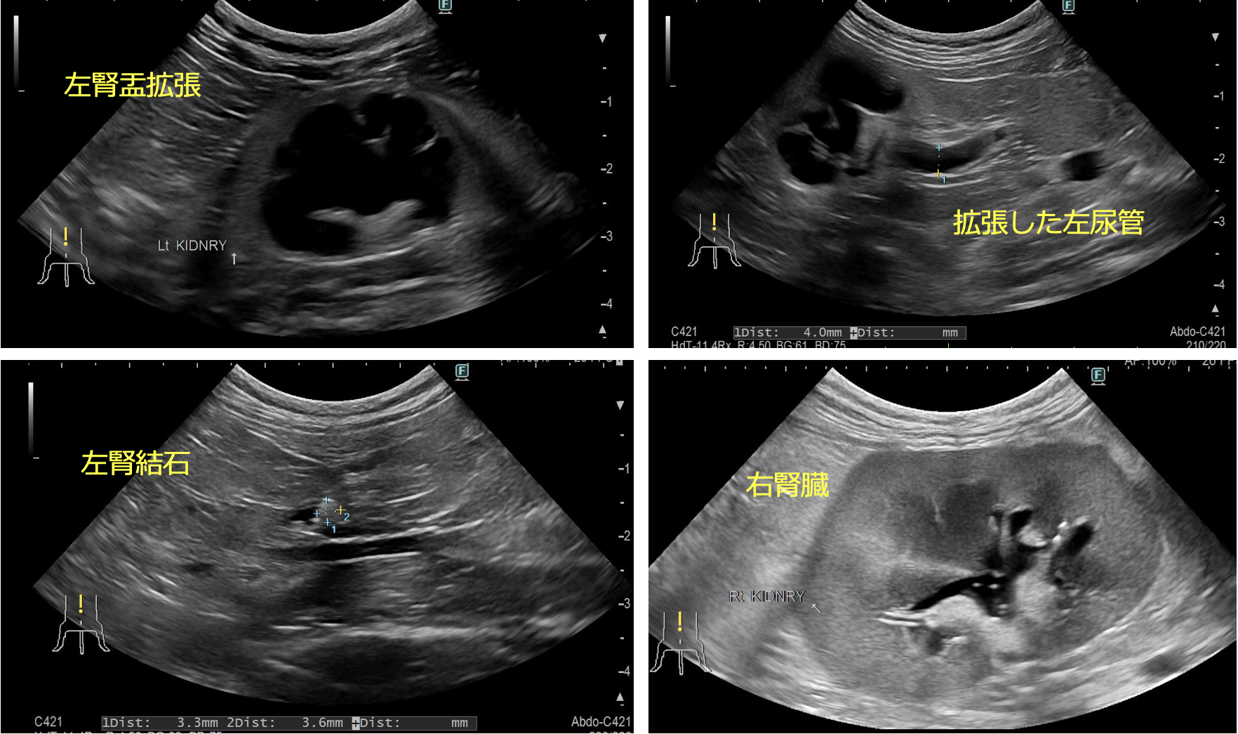
レントゲン、CT検査より左右の尿管に結石が認められた。また左腎臓腎盂の拡張が認められた。

診断と治療

左右尿管結石と診断した。治療は、腎臓の数値を下げるため、まずは腎瘻チューブを設置した。腎数値に改善が認められないので、開腹にて尿管膀胱側側吻合術を行った。

before