尿失禁に続発する重度の尿焼けを主訴に来院された。幼齢期(5か月齢)に交通事故で骨盤部尿道断裂および尾部損傷を受傷し、治療過程で恥骨前尿道造廔術と断尾術を受けた。その後、腹壁部で尿道狭窄を発症し、尿道口拡大や尿道再建のための複数回手術を重ねたが、尿失禁と尿やけは進行した。経過中には反復性細菌性膀胱炎およびストルバイト尿石症も併発し、抗菌薬治療を含む管理でも失禁は改善せず、QOL低下のためカテーテル管理目的の入院を頻回に要する状態となっていた。
症例紹介 CASE
症例紹介 CASE
尿失禁とは?
猫の尿失禁は、動物が意図せずに尿を漏出する状態を指し、飼い主が「寝ている間に寝床が濡れる」「抱き上げた際に尿が垂れる」「陰部周囲が常に湿っている」などの所見として気付くことが多い。猫では犬と比較して尿失禁が典型的な単一病態として語られにくい一方、実臨床では決して稀ではなく、家庭内衛生の悪化や皮膚炎の併発、飼い主の介護負担増大を介して生活の質(QOL)に大きな影響を及ぼし得る重要な症候である。さらに、飼育環境の維持が困難となり、飼育継続に影響する可能性もあることから、臨床的のみならず社会的観点からも看過できない。
尿の保持は、膀胱の蓄尿機能、尿道の閉鎖機能、膀胱・尿道から脊髄・中枢に至る神経制御、ならびに体位変化や腹圧上昇に対する支持構造の協調によって成立する。したがって尿失禁は、これら保持機構のいずれか、あるいは複数の破綻として生じる症候群として理解することが実用的である。概念的には、尿道閉鎖機能の低下、膀胱の蓄尿障害や不適切な収縮、神経学的制御の異常、尿路の解剖学的・交通異常など、多様な機序が想定される。また猫では、飼い主が「失禁」と表現する症状の中に、随意排尿の場所が不適切となる不適切排尿が混在することがあり、現象の正確な言語化と整理が重要となる。
このように猫の尿失禁は、単に「尿が漏れる」という所見に留まらず、背景要因や発現様式が多様である点に特徴がある。そのため、症例を記述する際には、漏出が生じる状況(睡眠中・安静時、歩行時、抱き上げ時など)、頻度や量、持続期間、衛生環境への影響、会陰部の湿潤や皮膚障害の有無といった観察情報を具体的に提示することが、病態理解と情報共有の観点から有用である。
症例紹介
初診時、膀胱は軽度触知可能で、会陰部から後躯にかけて重度の尿焼けを呈していた。失禁の程度はcontinence score(CS:1=常時尿失禁あり、10=尿失禁なし)で評価し、初診時はCS 1/10であった。
血液学検査および血清生化学検査には特記すべき異常を認めなかった。
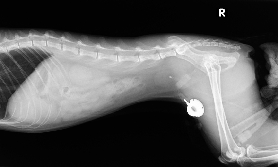
画像検査では、腹部X線で膀胱は小さく正常位置に確認され、超音波検査で尿道の肥厚および不整を認めた。
さらに手術計画のため実施した造影CTでは、尿路結石や明らかな解剖学的異常を認めず、既往手術の影響として腹腔内尿道は短縮(約11 mm)し、形状不整であることが明らかとなった。
診断と治療
本症例は、PPU後に持続する連続的尿漏出による重度尿失禁と、それに伴う尿焼けを主要課題として管理方針を検討した。
まず尿焼け管理のため8Fr Foleyカテーテルを留置し、飼い主様の希望により閉鎖式カテーテル管理下で46日間入院とした。
退院後、尿道括約筋機能へのアプローチとしてフェニルプロパノールアミン(PPA)1.8 mg/kg q12h を1週間試みたが、失禁の改善は得られず、尿焼けの再燃と攻撃性増加がみられたため中止した。
そこで、内科的管理では十分な改善が得られないと判断し、hepatic occluder(HO)デバイスの植込みを選択した。
手術は、術前CT評価後(day 76)に実施した。麻酔はアトロピン0.04 mg/kg SC、フェンタニル2.5 µg/kg IVで前投与し、プロポフォール6 mg/kg IVで導入、イソフルラン1.4–1.8%で維持した(ETT 4.5 mm)。周術期はドパミンCRI(2.5–5.0 µg/kg/min)およびフェンタニルCRI(1.25–10 µg/kg/h)で循環・鎮痛を調整し、アンピシリン20 mg/kg IVを投与した。術式は正中切開で開腹し、癒着剥離後に膀胱頭側へstay sutureを設置したうえで、10 mm HO(LePort;cuff幅7 mm・厚さ2 mm)を膀胱尾側の尿道周囲に設置し、3-0 polypropyleneで固定した。アクセス・ポートは大腿筋膜へ4-0 polypropyleneで固定した。システムを生理食塩水でプライミング後、0.5 mL注入で尿道閉塞を確認して抜去し、閉腹後は尿焼け管理のため尿道カテーテルを留置した。手術時間は80分で、術後回復は良好だった。
その後の経過(オペ後)
術後14日目まで入院し、退院前に尿道カテーテルを抜去した。
以後のカフ調整は、アクセス・ポートからの生食注入により鎮静なしで段階的に実施した。
術後18日目および20日目に各0.1 mL注入し総注入量 0.2 mLとしたが、術後22日目に尿やけの悪化がみられたため0.2 mL抜去して尿道カテーテルを再留置した。
術後40日目に尿焼けが消退した段階でカテーテルを抜去し、0.3 mL注入してCS 7/10まで改善した。
以後、術後43日目に0.05 mL追加(総注入量 0.35 mL)した一方、術後50日目に医原性の尿道閉塞を疑う所見が認められたため0.05 mL抜去(総注入量0.3 mL)し、以後は微調整として術後81日目および術後94日目に各0.01 mL注入して、最終的に総注入量 0.32 mLに到達した。
最終フォローの術後197日目ではCS 9/10まで改善し、尿やけの再発はなく、血液検査も正常範囲で推移し、経過は良好であった。
※同症例内容はJFMS Open Rep.に掲載されています。Doi: 10.1177/20551169251379043.
