獣医師様はこちらVETERINARIAN
ネット予約RESERVE
ページトップへ

症例紹介 CASE

症例紹介 CASE

腸内の紐状異物

腸内の紐状異物とは?

腸内の紐状異物は、動物が誤って糸や紐、ビニールテープなどを誤飲した場合に、腸に引っかかってアコーディオン状に手繰り寄せられる非常に危険な状態です

重度の腸閉塞や腸管が裂け腹膜炎などを引き起こし、通常緊急手術が必要となります

症例紹介

DSH
年齢 11
体重 6kg
性別 雄(去勢済)
来院のきっかけ

元気消失、食欲廃絶、嘔吐

所見

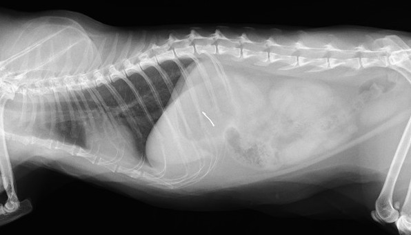
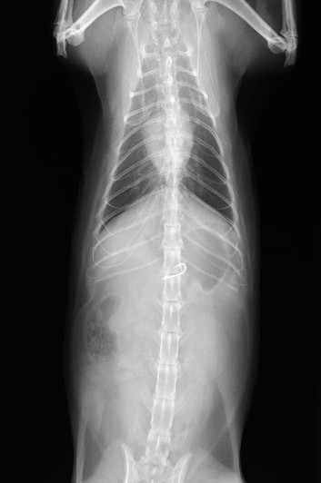
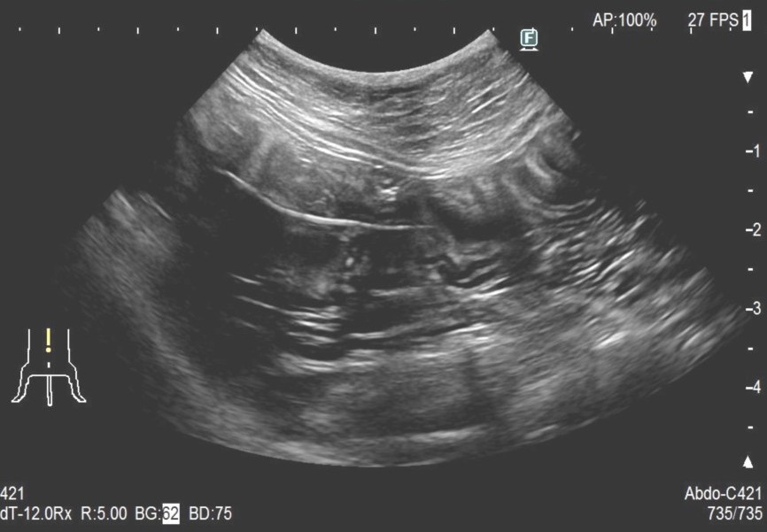
レントゲンにて胃内にX線不透過物(釣り針)、腹部エコーにてアコーディオン状に手繰り寄せられた消化管と紐状異物を確認

診断と治療

釣り針の誤食ならびに糸による紐状異物と診断

内視鏡検査にて胃内の釣り針を確認
開腹手術にて胃切開し、十二指腸切開にて釣り針についていた糸を摘出した


その後の経過(オペ後)

術後は順調に回復し、術後2日目から流動食を開始
6日目から固形食を与え、1週間後には退院した
2週間後に抜糸を行い治療を終了とした