獣医師様はこちらVETERINARIAN
ネット予約RESERVE
ページトップへ

症例紹介 CASE

症例紹介 CASE

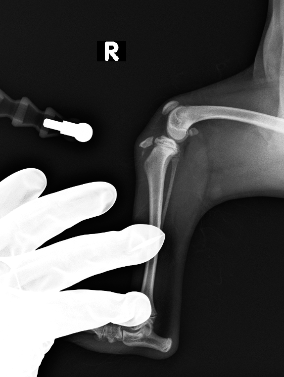
脛骨粗面成長板骨折

脛骨粗面成長板骨折とは?

脛骨粗面とは、膝蓋骨が付着している脛骨の突起です。ここに成長板が残っているので、強い牽引力や急なジャンプなどで骨折することがあります。

症例紹介

犬種 トイプードル
年齢 5ヶ月齢
体重 3.14kg
性別
来院のきっかけ

ジャンプした時に転倒し、右後肢破行・挙上

所見

レントゲン検査より、脛骨粗面成長板の剥離

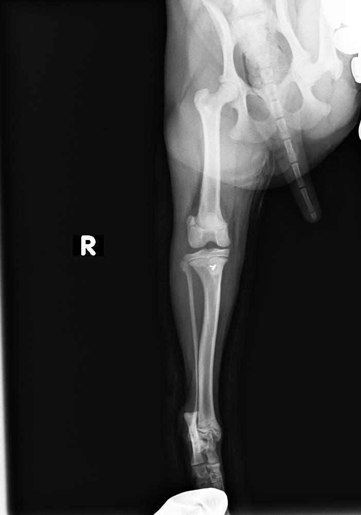
診断と治療

脛骨粗面にKワイヤーを挿入して固定

before
after