獣医師様はこちらVETERINARIAN
ネット予約RESERVE
ページトップへ

症例紹介 CASE

症例紹介 CASE

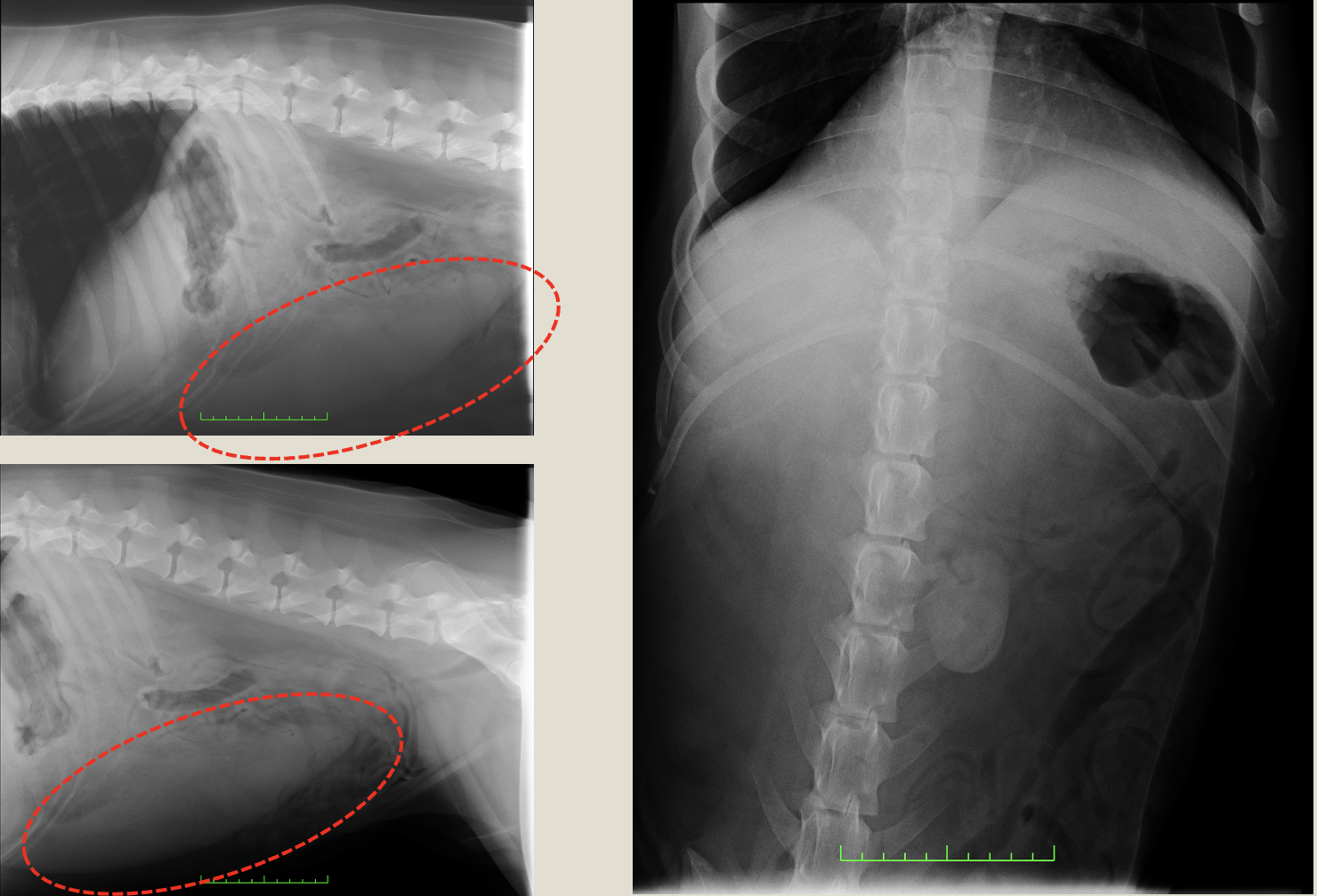
脾臓捻転

脾臓捻転とは?

脾臓捻転とは、脾臓が脾動静脈を軸に捻れる病気です。その結果、血流が遮断され脾臓が腫大します。単独で併発することは稀で、胃捻転に併発するケースもあります。

症例紹介

犬種 バーニーズマウンテンドッグ
年齢 7歳2ヶ月齢
体重 49kg
性別 雄・雌(去勢済/避妊済)
来院のきっかけ

元気食欲低下、血尿、下痢

所見

血液検査より、軽度貧血、CRP(急性炎症蛋白)上昇、ビリルビン軽度上昇
レントゲンより、腹腔内に腫瘤陰影
超音波検査より脾臓周囲高エコー、脾臓低エコー
CT検査より、脾臓以外に血流に乏しい腫瘤、腹膜炎

診断と治療

脾臓捻転・脾臓断裂を疑い、開腹にて腫瘤摘出

before