獣医師様はこちらVETERINARIAN
ネット予約RESERVE
ページトップへ

症例紹介 CASE

症例紹介 CASE

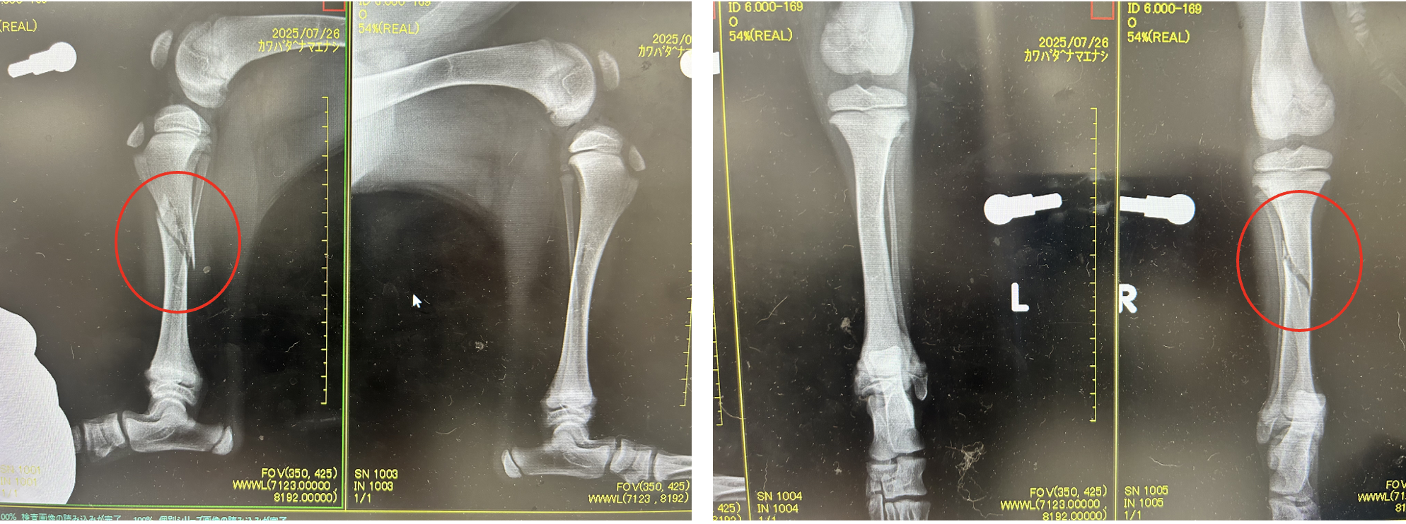
脛骨長斜骨折

脛骨骨折とは?

犬の脛骨骨折は、後肢(すねの骨)が、外傷により折れる病気である。

症例紹介

犬種 コリー
年齢 2ヶ月齢
体重 5.2kg
性別
来院のきっかけ

山で走っている時に急にキャンと鳴く、その後右後肢破行・挙上

所見

レントゲン、CTより右脛骨の斜骨折または螺旋骨折が認められた

診断と治療

中和プレート固定、ラグスクリュー

before
after