獣医師様はこちらVETERINARIAN
ネット予約RESERVE
ページトップへ

症例紹介 CASE

症例紹介 CASE

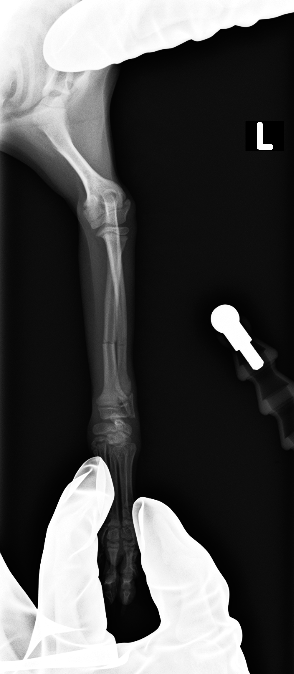
橈尺骨折

橈尺骨折とは?

犬の前肢の骨折で最も多い骨折です。特にトイプードル、ポメラニアンなどの小型犬に多く、骨が細く、骨密度も低いため折れやすいです

症例紹介

犬種 雑種(プードル・マルチーズのMIX)
年齢 3ヶ月
体重 1.95kg
性別
来院のきっかけ

70〜80センチ位のソファーより落下

所見

レントゲンより橈骨、尺骨の骨幹部で骨折が認められた

診断と治療

橈骨のプレート固定

before
after