獣医師様はこちらVETERINARIAN
ネット予約RESERVE
ページトップへ

症例紹介 CASE

症例紹介 CASE

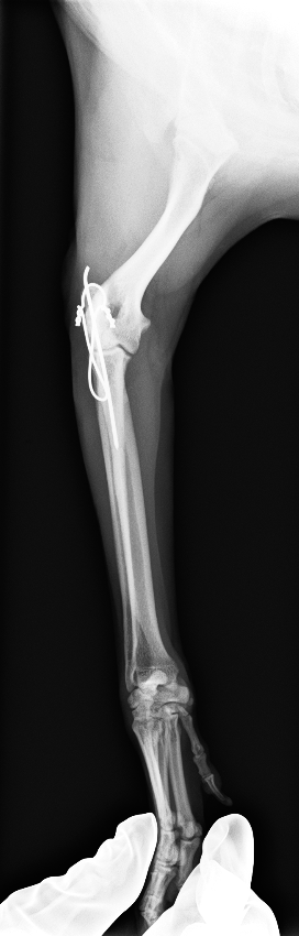
肘頭骨折

肘頭骨折とは?

肘頭とは、尺骨の近位部にある突起で、上腕三頭筋が付着しており、肘の伸展に重要な役割を果たします。この部位が折れると、肘を伸ばせなくなり、前肢を挙げたままになります。高所からの落下、交通事故などで起こります

症例紹介

犬種 柴犬
年齢 1歳6ヶ月齢
体重 10kg
性別 雄・雌(去勢済/避妊済)
来院のきっかけ

交通事故

所見

右肘頭骨折

診断と治療

髄内ピン、テンションバンドワイヤーによる固定

before
after