About Us
当院について
当院の理念
診療時間
初めての方へ
診察について
Service
診療案内
一般診療
一般診療
輸血治療
症例紹介
猫について
地域猫貢献活動
専門外来
眼科
皮膚科
整形外科
循環器科
行動診療科
症例紹介
各種臨床検査
各種臨床検査
CT
MRI
患者さま紹介の流れ
Information
お知らせ
Directions
交通のご案内
FAQ
よくある質問
ネット予約
採用サイト
JP
EN
CN
MENU
当院について
当院の理念
診療時間
初めての方へ
診察について
今月の獣医師勤務表
スタッフ紹介
川畑充
川畑健
廣野直人
前川良子
M.T
スタッフ座談会
診療案内
一般診療
一般診療
輸血治療
症例紹介
猫について
地域猫貢献活動
専門外来
眼科
皮膚科
整形外科
循環器科
行動診療科
症例紹介
各種臨床検査
各種臨床検査
CT
MRI
患者さま紹介の流れ
施設紹介
院内設備
検査設備
大津分院
ケアサービス
パピー教室
ペットホテル
トリミングシャンプー
ドッグラン
アクセス
料金表
よくある質問
リンク集
プライバシポリシー
お問い合わせ
サイトマップ
お知らせ
EN
CN
採用サイト
獣医師様はこちら
VETERINARIAN
ネット予約
RESERVE
症例紹介
CASE
一般診療
輸血治療
症例紹介
猫について
地域猫貢献活動
症例紹介
CASE
犬
整形外科
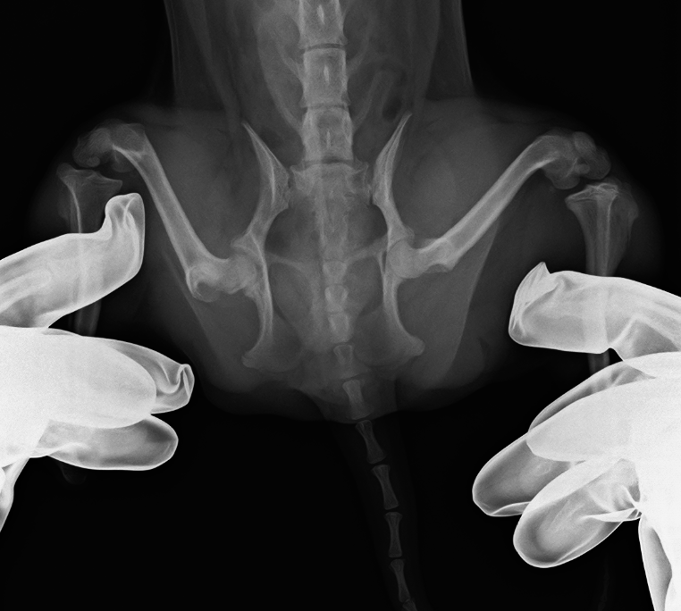
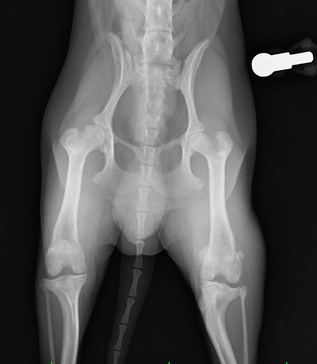
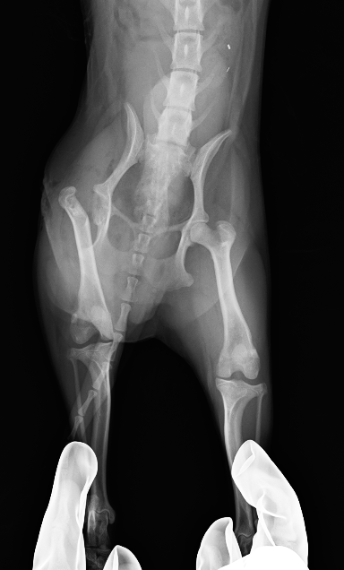
大腿骨頭壊死
大腿骨頭壊死とは?
大腿骨頭への血流不全により壊死、変形する病気で、主に若齢の小型犬に多い
症例紹介
犬種
年齢
9ヶ月齢
体重
2.4kg
性別
雄・雌(去勢済/避妊済)
来院のきっかけ
1ヶ月前より右後肢破行・挙上
所見
右後肢大腿骨頭切除
before
after
前の記事
次の記事
動物
すべて
犬
猫
小動物
鳥
ハムスター
うさぎ
爬虫類
専門診療科
血液内科
呼吸器外科
消化器内科
神経内科
腫瘍科
泌尿・生殖器外科
神経外科
消化器外科
循環器科
整形外科
皮膚科
眼科
歯科
行動診療科
ホーム
診療案内
症例紹介
大腿骨頭壊死