獣医師様はこちらVETERINARIAN
ネット予約RESERVE
ページトップへ

症例紹介 CASE

症例紹介 CASE

犬の皮膚肥満細胞腫 

肥満細胞種とは?

犬の皮膚にできる悪性腫瘍の一つで、肥満細胞という免疫細胞ががん化したものです。基本は外科手術が第一選択とされ、併せて領域リンパ節やセンチネルリンパ節の検査が昨今推奨されています。皮膚肥満細胞種は臨床兆候に加え、術後の病理組織検査によるマージン判定やグレード分類、C-kit遺伝子変異の有無などが非常に重要で予後にも影響します。術後は結果に応じて分子標的薬や抗がん剤治療、放射線治療などが選択されます。

症例紹介

MIX
年齢 12歳
体重 28kg
性別 避妊メス
来院のきっかけ

体表腫瘤を他院で検査しMCTと診断されたため、CT検査と外科切除を希望され来院されました。

所見

右の脇腹に2cm大のドーム状の腫瘤の形成を認めました。エコー検査にて右腋窩リンパ節の腫脹が見られました。腫瘤表面は自壊し気にして舐めようとする仕草が見られるとのことでした。

診断と治療

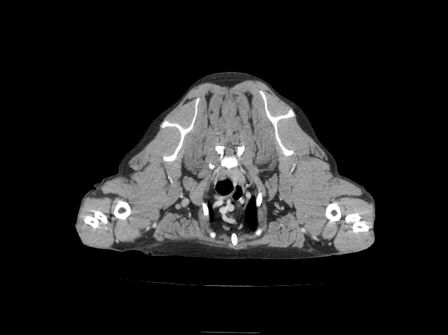
麻酔下にてCT撮影及びリンパ節の針生検を実施し、右腋窩リンパ節の腫脹及び肥満細胞の流入を認めました。脾臓、肝臓の針生検では異常は認めらませんでした。
他に転移所見を認めなかったため、右脇腹の皮膚腫瘤の底部に筋膜を残した状態で一括切除を行いました。同時に右腋窩リンパ節の切除も実施しました。検査結果は皮膚肥満細胞種、Patnaik分類Grade2、Kiupel高グレード、マージンクリア、リンパ節転移あり(HN3)、C-kit遺伝子変異陰性という結果でした。


その後の経過(オペ後)

術後抜糸が終わったタイミングでご家族と相談し、補助療法として抗がん剤治療を開始しています。まだ術後2ヶ月なので慎重に経過観察中ですが、抗がん剤の副作用も特に認めず元気に通院してくれています。