獣医師様はこちらVETERINARIAN
ネット予約RESERVE
ページトップへ

症例紹介 CASE

症例紹介 CASE

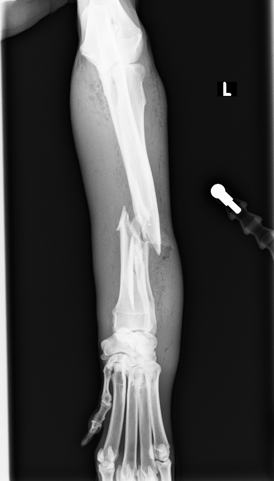
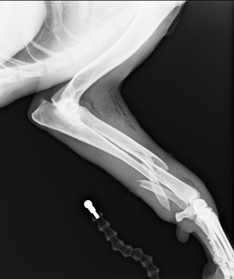
橈骨尺骨粉砕骨折(解放骨折)

解放骨折とは?

解放骨折とは、骨折により骨が皮膚の外に出たり、外傷により骨折部が皮膚の外と交通するしている状態を指します。解放骨折は非常に危険で、感染のリスク、重度の軟部組織損傷、骨癒合遅延や癒合不全、ショックや失血を伴うこともあります。

症例紹介

犬種 ジャーマンシェパードドッグ
年齢 3歳
体重 28.3kg
性別
来院のきっかけ

犬同士の喧嘩による咬傷

所見

左前肢挙上し、軟部組織の腫脹が認められました。レントゲン、CT検査より橈骨・尺骨の粉砕骨折が認められました

診断と治療

左橈骨・尺骨の粉砕、解放骨折と診断し、橈骨にはLCPのダブルプレート、尺骨には髄内ピンによる治療を行いました

before
after