獣医師様はこちらVETERINARIAN
ネット予約RESERVE
ページトップへ

症例紹介 CASE

症例紹介 CASE

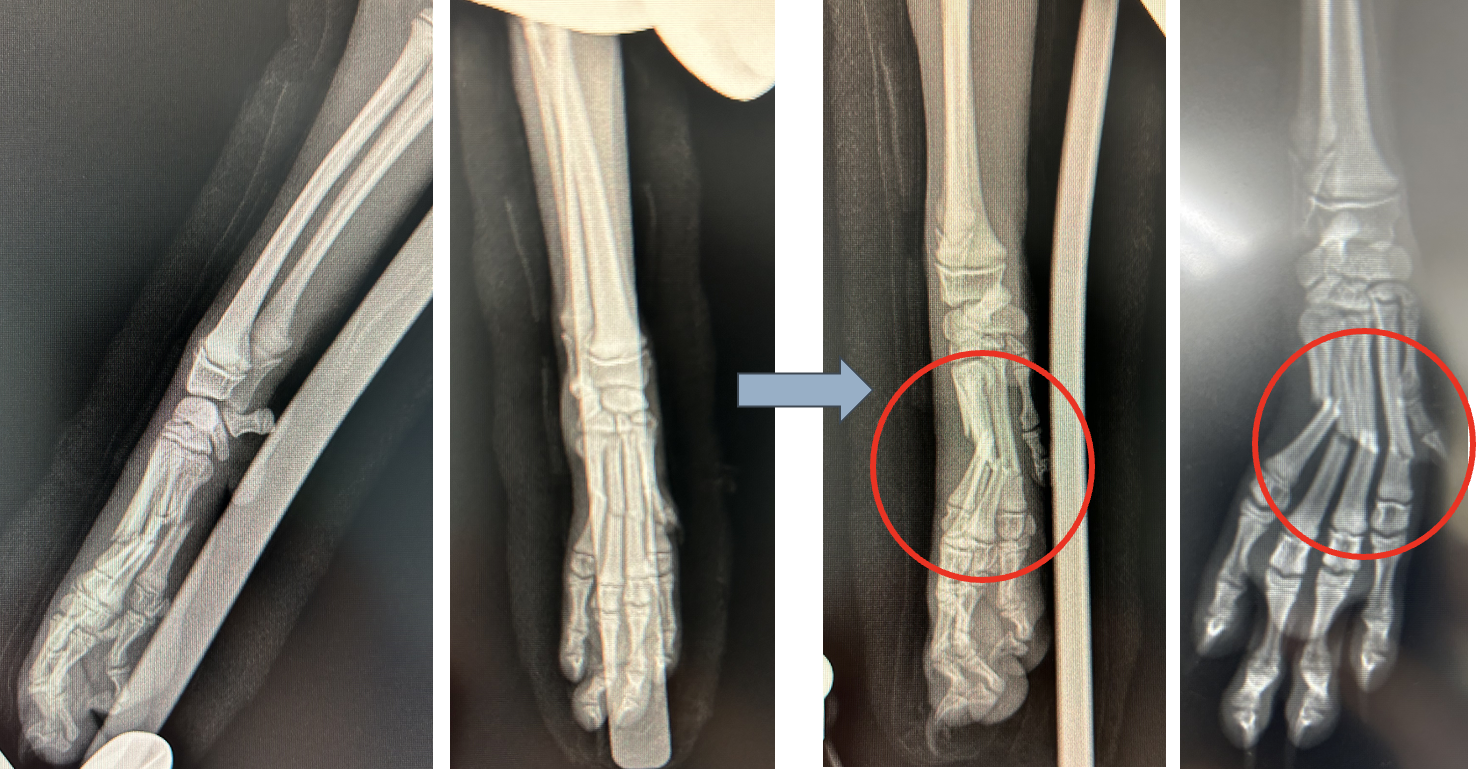
中手骨骨折

中手骨骨折とは?

中手骨は、犬の前肢の手のひらにある細長い骨です。落下などの外傷で骨折をします。症状は、前足を挙げたり、疼痛、腫れを起こします。

症例紹介

犬種 トイプードル
年齢 4ヶ月齢
体重 2.6kg
性別
来院のきっかけ

落下により夜間病院で外固定を行ったが、骨折ラインのズレが多く、外科的な内固定を行った

所見

レントゲン検査より第2,3,4,5中手骨骨折

診断と治療

髄内ピンにより内固定

before
after